Friday 11/8/2019: ICU & Interventional Radiology
I remember a little more from Friday, the day after my aneurysm ruptured. Not a lot more, but a little. I woke up in the hospital with no real idea exactly where I was, how I had gotten there, or how long I would be staying. One of my cousins was in the room with me, and I remember being a little surprised by that. All my previous experiences of going to the emergency room (for stitches and kidney stones) had been that I was there for a number of hours and then got patched up and sent home. So why would I have a visitor? It was because this time I had been admitted with a ruptured brain aneurysm and was in ICU. I figured, okay, I’ll be here for a day or two and, and then get sent home, which turned out to be some seriously wishful thinking on my part.
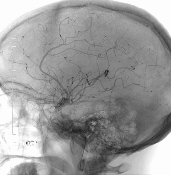
Early Friday morning, I was visited by a doctor who turned out to be my primary neurologist, from Interventional Radiology, a department I had never heard of before; this was one of the first of many new terms I was going to be learning over the course of my stay. He explained that they’d found a small (about 3mm) aneurysm at the main branch of my right internal carotid artery, which had ruptured the previous morning. “It’s a good thing it stopped bleeding on its own,” he told me, “or we wouldn’t be having this conversation.”


I’ve since learned that most aneurysms—up to 80% of them—never rupture. This especially applies to small aneurysms like mine. For instance, this NIH article reports that 0% of the internal carotid artery (ICA) aneurysms that were less than 7mm in size ruptured in patients who had not had a previous aneurysm rupture.

When an unruptured aneurysm is found, it is often monitored rather than being preemptively treated, unless it is large or is located at the posterior of the brain. This is because the treatment itself carries not insignificant risks of complication, up to and including triggering the subarachnoid hemorrhage it is intended to prevent. (This is what happened to Emilia Clarke, of Game of Thrones fame, during her second aneurysm surgery, although that involved treating a small aneurysm that had suddenly started growing.) So in all likelihood my aneurysm, had it been detected, would have been watched and left alone. But since it had decided to go ahead and loudly announce its presence and ambition, simply monitoring it was, as one may have surmised by now, no longer an option.
The surgeon’s plan was to perform a coil embolization procedure—something else I had never heard of, and to which my immediate reaction was, wait, aren’t embolisms bad?—by going in through my femoral artery, up to my brain, and inserting a small coil of platinum into the aneurysm. This would stop up blood flow to the aneurysm, clot, and eventually cause the aneuyrsm to collapse. A litany of possible side effects and complications was presented, none of which sounded worse than what had already happened and what was likely to happen if we did nothing, so I agreed to the procedure and it was scheduled to occur several hours later. (I’ve since learned that a cerebral aneurysm that ruptures once is almost certain to rupture again within a few days to a few weeks, and that the second rupture is usually much worse. This explains the hurry to get the surgery done: There was a clock, and it was ticking.)
While waiting to be taken to surgery, I spent the intervening time sleeping and, I thought, chatting with visitors, although I was later informed that for the first several days after the rupture I could barely hold a two-minute conversation before dozing off. I could swear I talked a lot longer than that, but my perceptions were, shall we say, unreliable at this time.
This was also when I started having to answer the neurology assessment questions that I would be he hearing multiple times a day for the next few weeks (Where are you? What is the date? What is your name? What is your quest? What is the air speed of an unladen swallow?), identifying pictures of items, and doing things like following the nurse’s finger with my eyes, squeezing the nurse’s hands, wiggling my toes, etc. All of these activities would be taking up portions of my copious free time while in the hospital. The ICU nurses seemed amazed that I was even conscious, let alone talking and answering questions, so I was already beginning to get the idea that I had been incredibly lucky in my unluckiness.
When the time came for surgery my bed was rolled out to the Interventional Radiology operating theatre, which consisted of all kinds of fancy equipment on tracks in the ceiling that could be moved every which-way, and a giant monitor (bigger than the TV in our house) with my name displayed on it and a brain scan which I assumed was mine. I felt like I had been transferred to the sick bay on the Enterprise. After everything was ready I was moved to the operating table, where I was introduced to my anesthesiologist, answered a few questions, and then woke up in recovery. Once I was stable enough to be moved (I later learned that I’d had a pretty rough time of it coming out of anesthesia, with signs of atrial fibrillation and tachycardia and some other terms I didn’t catch; I don’t remember any of that), they wheeled me back to my room in ICU, where several friends were waiting for me. Back in ICU, I developed a serious case of the full-body shakes, which was also related to the anesthesia. I was given intravenous Demerol to try to alleviate the shaking, but it made me incredibly nauseated within seconds. This is all a little fuzzy in my memory but I’m told that I pushed myself upright and pointed and said:
Me (pointing): “Bag.”
And once I got the bag I immediately started vomiting. After a second the nurse took off running out of the room like Jake Weber in U-571 when he realizes what’s being tapped out in Morse code from the engine room:
Only of course instead of (spoiler alert!) fetching a giant wrench to bash a German prisoner in the head, she was getting anti-nausea medication to stop all my throwing up. Apparently I passed out right around then and proceeded to spill my carefully curated collection of vomit all over myself. Good times.
Eventually I woke up again. I think it was still Friday, because my throat was still very sore from being intubated during surgery, and I probably sounded like a chain-smoking Cryptkeeper when I talked. Various other visitors were in the room; some had been there a while, some had arrived just before or during the surgery. I don’t remember too much about the rest of the day, but I do remember being asked a question on behalf of some other friends who weren’t there at the time:
Friend #2: “Friend #3 wants to know what your two favorite colors are, and you’re not allowed to say orange and orange.”
Me: “Orange and purple.”*
This was not just a random question, but I didn’t find out the exact reason for it until a day or two** later. Although even if someone had told me on Friday what the question was for, I probably wouldn’t have remembered.
* Doesn’t everyone have a second-favorite color?
** At this point the specific days things happened may start to get a little off, because I’m going from memory; for obvious reasons, I wasn’t taking notes on what was happening, and my perceptions of time may have been a little unreliable there in ICU.

Aneurism ruptures are nothing trivial.
LikeLiked by 1 person
WOW! What a crazy crazy time you had James!! I am now learning new words from you & I WAS in Nursing for 7 years…I didn’t work with the Brain tho’. What an amazing & unknown place our brains actually are! You are an amazing strong individual…truly! And I appreciate you sharing your ‘journey’ with us in the Blog World. All I can is I am so thankful you got assistance in time & are all right now…..
Not sure about the color deal but my 2 fave colors are purple & red…. just so ya know, lol….
((hugs)) Sherri-Ellen & **purrsss** BellaDharma
LikeLike
WOW! I really don’t know what to say. Well, I do—thankfully you were in the hospital….thankfully you were getting really good care (I would be very concerned here in our very rural area for something like you went through) and Whew! I’m so glad you made it through all this.
LikeLiked by 1 person
I do have a second favorite color, and it keeps swapping places with first favorite. This is an amazing story, and that you were able to give good answers to most of the questions!
LikeLike
You were not only lucky, in His Providence you were blessed with good doctors, quick thinking medical staff and a host of angels keeping watch over you.
I have my own experience with Interventional Radiology…it IS like being in a science fiction setting, LOL! (Though I was awake and able to see what they were doing and could see the monitor screen and where the ‘things’ all went…amazoing, actually!).
I am so glad you are now able to tell us your story, and though you think its kind of ‘fuzzy’ in the details, you have a great recollection of the events from out of your fog.
LikeLike
You are a lucky man. Thanks for sharing your story.
LikeLiked by 1 person
So very glad that you are on the mend! My heart goes out to your dear spouse and folks, for the stress and worry it must have caused them. I am very impressed with what you remember of the event! So thankful that you were able to get through to 9-1-1 – that is a miracle, considering the condition you were in! PTL! Prayers for your continued recovery.
Lindy
LikeLike
Reminds me of my wife on morphine, when a nurse pushed a trolley into her room. “Oh, look at that dear little black and white dog.” And later, when doctors were attending another patient: “Toots, is that a goat in the corner?”
LikeLike
OK, so you left a cliff hanger about the colors. Wait. I was supposed to ask what happened next with you, not the colors, right? But we already know you lived to blog again! Seriously, can’t wait for the next installment.
LikeLiked by 1 person
Sorry, I didn’t mean to cliffhang everyone about the colors! 😀 What that is all about is, our friends’ little girl wanted to make me a “get well” poster and wanted to know what color to use for the lettering. (The paper, of course, was going to be orange.) Anyway the poster will be making an appearance in the next episode, I think!
LikeLiked by 2 people
How sweet. Looking forward to the next episode!
LikeLike
I have two favorite colors, blue and black.
Thank you for sharing your story with us.
LikeLike